结角膜干燥征也称Stevens-Johnson综合征(Stevens-Johnson’s syndrome),在1922年首次被描述,主要病理损害表现为皮肤和黏膜的炎症并出现水泡样病理改变。 结角膜干燥常发生在儿童和青年患者,与某些药物及感染引发的自身免疫反应有关,如局部或全身应用磺胺类及青霉素类药物,这主要是个体的特异性,与药物本身关系不大;另外还与某些细菌及病毒,如溶血性链球菌、腺病毒、单纯疱疹病毒等感染有关。 约二分之一患者在发病的1 - 14天内有发热及上呼吸道感染症状;体征表现为突然出现皮肤及黏膜的损害,红斑、丘疹或水泡等对称性的散在出现,有些严重病例,水泡内可出血;皮肤损害很少发生在眼睑,一般皮肤损害在数日或数周内自愈,留下皮肤的瘢痕;黏膜的损害包括眼结膜、口腔、生殖器黏膜,口腔黏膜是最常见的受损害部位,黏膜因水泡、假膜,最终形成瘢痕。眼部急性期,常双眼结膜有卡他性炎症、伴有脓性分泌物、出血、假膜,最终形成结膜瘢痕;眼部的慢性期,由于结膜瘢痕导致睑球粘连、睑内翻、倒睫,泪液量分泌不足,泪膜异常,角膜上皮结膜化及角膜血管翳等;泪液的异常是因为泪腺导管内皮瘢痕形成,使大量泪腺导管阻塞,同时结膜杯状细胞大量遭到破坏,致角膜上皮角化和干燥混浊,角膜因倒睫或睑裂闭合不全导致继发感染(图1~9)。

结角膜干燥症状:上图显示结膜干燥,病情较轻,角膜基质炎性浸润,血管膜覆盖病变区,结膜和眼睑缘伴有不同程度炎症(1AB)

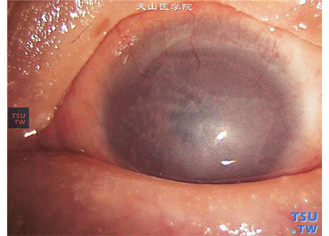
结角膜干燥:病情严重,角膜有大量血管长入,甚至形成血管膜覆盖角膜

结角膜干燥急性期,角膜和结膜表面有假膜和血管膜,角膜基质水肿、浑浊,结膜组织炎症和纤维化

结角膜干燥急性期过后,炎症得到一定控制,结膜充血减轻,角膜基质瘢痕化

结角膜干燥:患者几年前因药物过敏,导致全身皮疹,角膜被新生血管膜覆盖,角膜基质形成瘢痕;RTvue OCT检查,角膜明显水肿增厚,角膜基质层内可见致密的、密度不均的影像,角膜上皮层欠完整

结角膜干燥慢性期,角膜和结膜炎症减轻,新生血管减少,角膜基质内弥漫性瘢痕,仍伴有轻度炎性水肿和浑浊

结角膜干燥慢性期:结膜干燥、瘢痕形成,下眼球结膜处淋巴回流障碍,形成囊肿;粘液性分泌物,结膜和角膜瘢痕形成,睑球粘连,下睑结膜部位有囊肿

结角膜干燥:上图显示结角膜干燥双眼患者,角膜严重干燥,角膜上皮角化,新生血管密集,形成角膜覆盖角膜表面

结角膜干燥:结膜瘢痕化,严重睑球粘连,角膜炎性溃疡,泪腺分泌减少,粘液样分泌物
有局部或全身药物过敏史,细菌或病毒感染发热史等病史;具有典型的临床表现如发热,伴有皮肤黏膜损害,眼部干燥和角结膜病损可诊断该病。 早期应去除病因和对症治疗,糖皮质激素早期应用可减轻炎症,抑制新生血管的增生。慢性期主要是处理眼部并发症,治疗干眼症,如泪道塞、人工泪液的应用,1%环孢素滴眼液有一定疗效;对角膜上皮反复缺失,炎症难以控制者,可以考虑行睑裂缝合术缓解病情;睑球粘连和角膜新生血管膜,可以使用羊膜为载体的角膜缘干细胞组织或口腔黏膜培养膜片,行结膜囊成形联合角膜新生血管膜切除联合培养上皮细胞移植术,但术后远期随访仍会有复发;对无泪液分泌的干眼症,可使用颌下腺导管移植术(图10~14);晚期的复明手术还可以考虑行人工角膜术。

结角膜干燥:早期轻症患者,角膜表面有炎性分泌物,混合充血,结膜和角膜渗出性炎性损害;局部应用糖皮质激素和环孢素滴眼液,药物治疗一周,病情缓解

结角膜干燥:眼部干燥,角膜炎症难以控制,行部分睑裂缝合术治疗,病情暂时得到缓解,炎症减轻

左眼结角膜干燥:病史13年,曾行羊膜移植术,角膜被血管膜覆盖,睑球粘连,倒睫

结角膜干燥:左眼,角膜薄厚不均,角膜基质浑浊,可见致密的、密度不均的影像,可见血管膜在角膜表面的影像和深度

患者左眼行角膜新生血管膜切除联合带角膜缘组织的全板层角膜移植术,术中羊膜覆盖结膜和角膜,中心圆孔为减除羊膜组织;术后2月,可见结膜充血,角膜植片较透明,植床新生血管长入,角膜中央白色渗出、浑浊,上方见前房存在;

患者右眼,曾行羊膜移植术,3年前做过颌下腺移植和3次板层角膜移植术,病情暂时稳定,角膜植片浑浊,新生血管长入植片;角膜变薄,薄厚不均,角膜上皮下细小水泡,角膜植床影像较角膜植片致密,可以判定植床和植片的界限

患者因结角膜干燥,行角膜缘干细胞移植术后5年,病情复发,角膜表面新生血管膜,中央角膜溃疡,角膜基质水肿、浑浊;角膜基质薄厚不均,角膜基质影像密度明显升高,但内皮层影像尚光滑连续

结角膜干燥

结角膜干燥:18年病史,角膜上皮角化,新生血管长入,睑结膜瘢痕形成;行口气粘膜唇腺移植术,患者感觉干燥症减轻