你们听说过感染性角膜炎吗?
这是2019年公布的感染病学名词,一般由细菌、真菌、病毒、衣原体等各种病原微生物引起,不但发病率高,致盲率高,严重时还会破坏眼球致残。
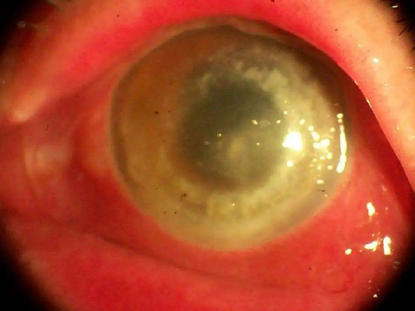
通常情况下,感染性角膜炎分为4类。
01 真菌性角膜炎
真菌性角膜炎是致病性直菌感染引起的一种致盲性角膜病,在我国,它居于感染性角膜病致盲率的首位。

这个病主要与植物外伤有关,以稻谷伤最常见,一年当中,夏秋农忙季节发病率较高。如今已是三月底,距离农忙也没有多长时间了,希望农忙期间辛勤劳作的农民朋友,在下地干活的时候注意保护好眼睛,必要时可以佩带护目镜进行预防。
如果出现像眼痛、眼红、畏光流泪、视物模糊等感染症状,同时曾被一些农作物如树枝、稻叶、麦穗等划伤眼睛,切勿自行使用抗生素、激素类的眼部药物,还是需要及时、尽早到医院进行检查和治疗。
除此之外,真菌致病需要一定的条件作为诱因,比如抵抗力下降(老人体质较弱)、药物滥用、患有其他疾病以及眼外伤等均可诱发。
另外,长期佩戴隐形眼睛或者角膜塑形镜,可直接因为角膜上皮糜烂或上皮擦伤引起真菌感染,也可以通过被真菌污染的保存液或清洁液引起真菌性角膜炎。
因此,大家要养成良好的生活习惯,均衡饮食、合理运动、减少熬夜、戒烟戒酒,以提高自身免疫力。此外,也要养成勤洗手、常剪指甲的卫生习惯,尽量不要长期佩戴隐形眼镜~
02
单纯疱疹病毒性角膜炎
单纯疱疹病毒性角膜炎是由单纯疱疹病毒Ⅰ型感染所致,是全球患病率最高的感染性角膜病,在我国人群中的患病率为11/万。

单纯疱疹病毒性角膜炎主要分为原发性感染和继发性感染。原发感染只是出现在对本病毒无免疫力的儿童身上,6个月至5岁的小朋友更容易受侵害。
原发感染后,病毒会终生潜伏于体内待机再发,也就是继发感染。继发感染多见于5岁以上儿童和成人。一些非特异性刺激如感冒、发热、疟疾、感情刺激、月经、日晒、应用糖皮质激素及创伤等都可能成为复发的诱因(眼部表现为典型的角膜损害,并导致角膜知觉减退)。需要注意的是,单纯疱疹病毒对人的传染性很强。
03
细菌性角膜炎
细菌性角膜炎是由细菌感染角膜引起的急性化脓性炎症反应,发病时眼部会出现磨痛或刺痛、畏光、流泪、视力骤降、患侧头痛等症状。

这个病喜欢出现在夏秋季,而且发病急、发展迅速,常在细菌感染后24~48h发病,如果没有得到及时救治,很容易导致角膜溃疡穿孔、严重时甚至致盲。
至于是什么原因导致的细菌性角膜炎,角膜接触镜卫生状况较差可能是主要原因,比如长时间不清洗接触镜、超长时间佩戴接触镜、佩戴接触镜过夜等不良习惯,都有可能导致细菌性角膜炎的发生风险增加。
另外,眼表疾病、眼部外伤及角膜异物也是导致细菌性角膜炎发生的危险因素,像这种因素造成的角膜炎,一般以体力劳动者尤其是中年男性为主,大家都知道,在劳动过程中,操作不当或缺乏相应的保护措施是很难避免的。
04
棘阿米巴角膜炎
棘阿米巴角膜炎是由棘阿米巴感染引起的慢性、进行性、疼痛性角膜溃疡,也是一种严重的致盲性眼病。

在我国,棘阿米巴角膜炎发病主要与配戴角膜接触镜、接触污染的水源和角膜外伤等有关。这个病多为单眼发病,有明显的异物感光、流泪等刺激症状,常常伴有与体征不符的剧烈疼痛。
对于感染性角膜炎,早期治疗主要依靠药物,但是如果病情真的到了一发不可收拾的地步,比如药物治疗无效或角膜濒临穿孔,往往就需要手术干预。
一般来说,可以采取的手术方式主要有两种:第一个是穿透性角膜移植手术,以全层(即包含所有5层)正常角膜代替全层病变角膜。这个手术吧,术后炎症反应较重,排斥率高。

很多人都在问,角膜不是没有血管吗,为什么还会排异?实际上,随着近年来研究的逐渐深入,发现角膜具有复杂的免疫体系。
很多文献中报道的角膜移植“免疫赦免”是相对的,它只是针对低危眼术后的高成功率而言,对于高危眼的高排异率来讲,排异率依然存在甚至更高。例如角膜大量新生血管形成,虹膜前、后粘连,术前、术后高眼压,无晶状体或人工晶状体眼,多术式联合或多次手术,大植片移植等因素都会造成移植排异几率的提升。
第二个是板层角膜移植术,一般在感染尚未累及后弹力层时施行,它倒是可以降低术后免疫排斥的风险,但受制于我国供体角膜缺乏的现状,实际施行的手术不多。
角膜病是我国的第二大致盲性眼病角膜盲,患者占盲人总数的1/4。面对我国现有的角膜盲患者与逐年增长的角膜盲患者的需求,我国的角膜供体严重不足,绝大多数患者在黑暗中排队等待有的甚至错过了最佳治疗时间。
在这种情况下,人工角膜出现了。
点击图片可调整产品详情页
就拿米赫人工角膜来说吧,它是国际首款纯人造材料合成人工角膜,无需供体角膜,既缓解了我国角膜捐献稀少的现状,又完全避免了免疫排斥反应的发生。
此外,米赫人工角膜的手术安全性也非常高,无需切除患者角膜,仅在角膜上开一个2.2MM的小口,对眼内组织干扰小,并发症少。
当然,米赫人工角膜的复明效果也是不用担心的,经过临床术后12个月的观察,使用米赫人工角膜的患者,脱盲率及在位率均达到100%,术后1年视力较术后7天和1个月都有显著提高。
米赫人工角膜的适应症也特别广泛,供体角膜移植手术难以成功的双眼角膜盲患者都可以通过米赫人工角膜得到有效的治疗而复明。
总之,对于角膜盲患者尤其是眼表情况较差无法通过角膜移植或其他人工角膜移植复明的患者来说,米赫人工角膜是非常值得信赖的产品,因为临床效果就是最好的证明。
