The following article comes from the eye, ear, nose and Throat Hospital Affiliated to Fudan University
New breakthrough, new hope
January 20 was the day when Mr. Ma, a 67 year old patient, returned to the clinic one month after receiving gene therapy for age-related macular degeneration.

Photo: Professor Xu Gezhi makes a follow-up visit to Mr. Ma
After comprehensive research and judgment, several follow-up visits and relevant examinations one month after treatment, Professor Xu Gezhi found that Mr. Ma's subretinal effusion was partially absorbed and showed other histological signs of improvement, and his visual function was also improved. His visual acuity was increased from 20 reading letters before treatment to 27 (edtrs corrected visual acuity chart examination), without any local and systemic side effects.

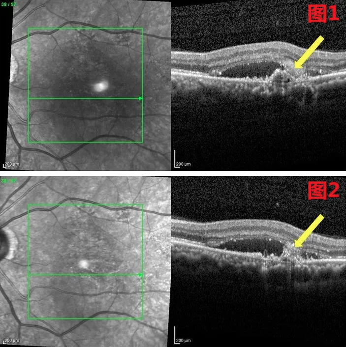
Note: compared with the 3rd week after treatment (Figure 1), the exudation in the macular area decreased and the cytopathy decreased in the 4th week after treatment (Figure 2) (yellow arrow).
This means that Professor Xu Gezhi's team has made important progress in gene diagnosis and treatment of difficult fundus diseases: it is possible to achieve safe, effective and long-term gene therapy for age-related macular degeneration. This provides a new treatment option for patients with refractory age-related macular degeneration in the future, and also provides a useful reference for exploring gene therapy for other difficult eye diseases.
Condition review ✦
Age related macular degeneration, also known as age-related macular degeneration, is a common irreversible blinding eye disease in the elderly. It is characterized by choroidal neovascularization in the macular area. If it is not treated in time, it will cause serious damage to central vision and even blindness due to bleeding. At present, the routine treatment is to inject anti neovascular growth factor into the eyes of patients, but it needs to be injected repeatedly on a regular basis.
In 2018, Mr. Ma was diagnosed with age-related macular degeneration with choroidal neovascularization and received 16 intraocular injections in four years. With the development of his condition, the interval of treatment was shortened from the first nine months to at least three months. Due to the serious decline of vision in the center and the inconvenience of movement, he needs to be accompanied by his family every time he goes to the hospital. For patients like Mr. Ma, it not only increases the financial and spiritual burden of the family, but also worries them that multiple intraocular injections may bring risks such as intraocular hemorrhage and infection.
Frontier exploration of gene therapy
Gene therapy for two kinds of difficult eye diseases has made a breakthrough
In order to explore a sustainable, safe and effective treatment for patients with difficult fundus diseases such as age-related macular degeneration, after detailed preclinical research and strict review and approval by the hospital ethics committee, the team of Professor Xu Gezhi and Associate Professor Hong Jiaxu of the Department of Ophthalmology, otolaryngology hospital cooperated with Professor Cai Yujia of the Institute of systematic biomedicine of Shanghai Jiaotong University, On December 22, 2021, Mr. Ma, who was enrolled in the first clinical trial, was treated with anti angiogenesis drugs produced based on idlv genetic engineering technology. Relevant gene therapy drugs come from GMP level cells and gene therapy production workshop units, and are subject to strict production quality control. The research team hopes that through this technology, the body can continuously produce "therapeutic drugs" to achieve "once and for all". Now, preliminary results suggest that gene therapy for age-related macular degeneration may be a safe, effective and long-lasting method.

Photo: Professor Xu Gezhi performed surgical treatment for Mr. Ma
This is the second gene therapy for difficult eye diseases carried out by the ophthalmology department of the eye, ear and Throat Hospital Affiliated to Fudan University with the help of genetic engineering technology. Associate Professor Hong Jiaxu and Professor Cai Yujia's team began to cooperate to explore the treatment of intractable viral keratitis as early as 2018 and made innovative breakthroughs. Relevant achievements and operating technologies were successively published in the international top academic journals Nature biomedical engineering and Nature Biotechnology in 2021, Relevant clinical application studies have been carried out.

New breakthrough! Help therapy is expected to help patients with viral keratitis regain their brightness
Over the past 70 years, we have sought to carry on with each other
Diagnosis and treatment of difficult eye diseases
Domestic leading and international first-class
This year marks the 70th anniversary of the establishment of the affiliated Ophthalmology, otolaryngology Hospital of Fudan University. Over the past 70 years, the affiliated Ophthalmology, otolaryngology Hospital of Fudan University has always adhered to clinical service as the foundation, scientific research and innovation as the guidance, actively responded to the national requirements for the high-quality development of the hospital and comprehensively improved the connotation of the hospital. Hospital ophthalmology has been ranked in the top three for 12 consecutive years in the list of professional reputation of Chinese hospitals.
The discipline of ophthalmic vitreoretinal diseases is one of the largest bases for diagnosis, treatment, research and teaching of vitreoretinal diseases in China. Under the demonstration and guidance of the older generation of pioneers such as Professor Wang Wenji, through the efforts of the second generation, a large number of professionals have thrived, followed the forefront of professional development, actively explored and created the first in many fields. In the late 1990s, the success rate of surgery for complex retinal diseases in the eye, ear, nose and throat hospital has increased to more than 90%.
According to statistics, the discipline completes nearly 40% of retinal disease operations in Shanghai every year, ranking first among hospitals in Shanghai and second in China. The surgical treatment of complex retinal detachment, retinal vascular disease, high myopia, vitreous macular interface disease, ocular trauma and intraocular inflammation is at the leading domestic and international level. The subject has made a series of research achievements in the field of difficult retinal diseases and successfully improved the diagnosis and treatment strategies of difficult retinal diseases. On this basis, in 2019, Professor Xu Gezhi and Professor Chang Qing led the establishment of the "Alliance for the diagnosis and treatment of difficult fundus diseases in the Yangtze River Delta", and jointly improved the diagnosis and treatment level of difficult retinal diseases in the Yangtze River Delta with 29 class III class A hospitals in the region.
